Cabinet dentaire des Drs BAUM & BIBAS
Chirurgiens Dentistes à Marseille
Chirurgiens Dentistes à Marseille

261 Bd Michelet
13009 Marseille

Cabinet dentaire des Drs BAUM & BIBAS

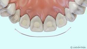
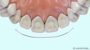
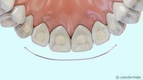
Fil de contention


video-play-icon

Articles similaires

Création par Webdentiste

Connexion